Radiología Avanzada
Diagnóstico por imágenes de última generación que nos permite ver más allá de lo visible, con la menor radiación posible.
Tecnología de Precisión
Utilizamos los equipos más avanzados para obtener imágenes de la más alta calidad con el mínimo de radiación y máximo confort.
Alta Resolución
Imágenes ultra detalladas para diagnósticos de precisión absoluta
Baja Radiación
Tecnología que minimiza la exposición manteniendo la calidad
Seguridad Total
Protocolos estrictos de protección y cuidado del paciente
Resultados Inmediatos
Visualización instantánea para diagnósticos más rápidos
Servicios Especializados
Ofrecemos una gama completa de estudios radiológicos dentales con la más alta tecnología y precisión diagnóstica.
Tomografía CBCT
Imágenes tridimensionales de alta resolución para diagnósticos de precisión excepcional.

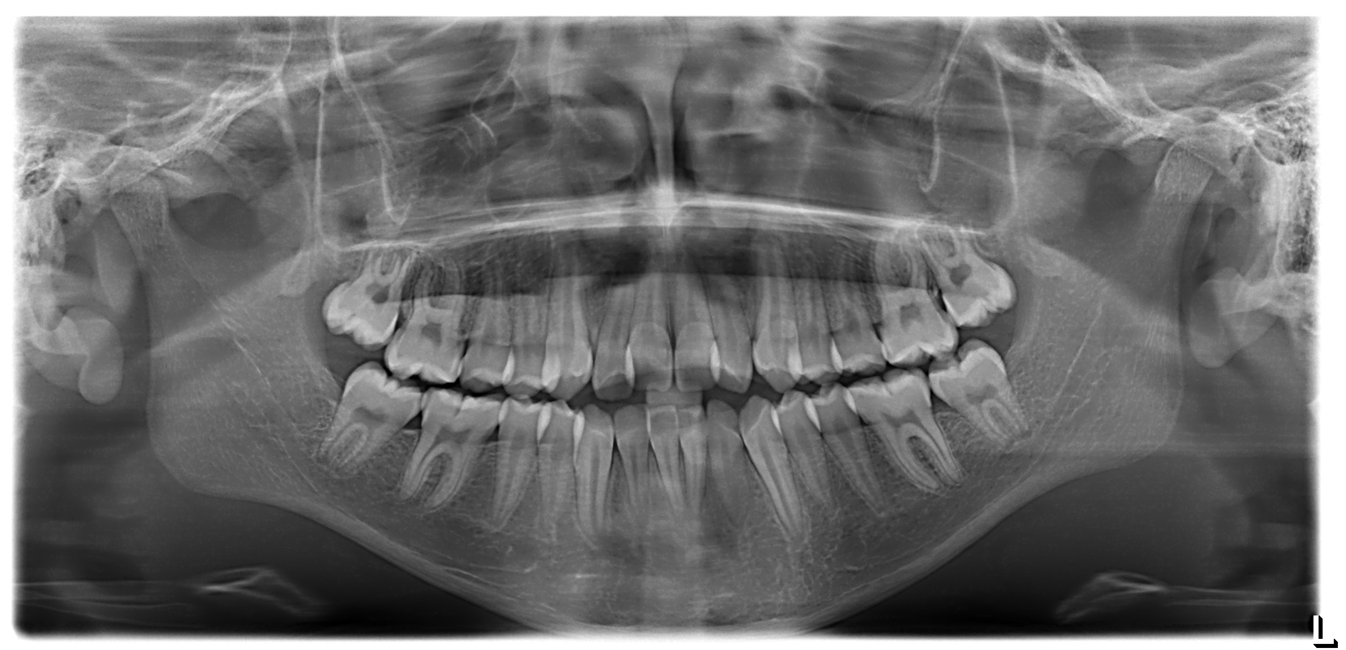
Radiografías Digitales
Tecnología digital avanzada para imágenes instantáneas y de máxima claridad.

Escáner Intraoral
Impresiones digitales de precisión absoluta sin la incomodidad de moldes tradicionales.

Beneficios de Nuestra Radiología
